CAUSE
CHORDOMA

Chordoma is a rare type of primary bone cancer usually found in the skull or spine. It accounts for only one percent of central nervous system cancers. It belongs to the group of cancer called sarcoma, which include cancers of the muscle, cartilage and bones.
Slow-growing chordoma may be found at any site along the axial skeleton. It is frequently found at the base of the spine, tailbone (sacral) or base of the skull. Chordoma don’t metastasize to distant parts of the body, but it can spread to surrounding tissues. A chordoma must be removed completely to lessen the chance of recurrence.
There is no known cause for chordoma, neither ways to prevent it. No environmental factors, trauma, or diet are known to be associated with chordomas. However, it is thought to develop from cells present in the embryo while the spine is developing. Chordomas may appear benign or non-cancerous when studied through a microscope, but it’s invasive nature, recurrence rate and location on the spinal cord, it is considered malignant. Chordomas are considered non-hereditary.
Symptoms
The signs and symptoms of a chordoma depend on where the tumor is located in the body and the areas of the body the tumor has affected–usually the organs closest to the tumor. If you have a cervical chordoma (growth in the cervical spine), you might have head or neck pain, neurological changes, diplopia (double vision), paralysis of facial muscles, or tingling or numbness in your arms, hands or shoulders. If you have a sacral chordoma (growth in the sacral spine), you might first notice a lump. In some cases, you may have pain, tingling, numbness or weakness in your legs, feet, or hips.
Skull base chordoma symptoms:
- Headache
- Paralysis of facial muscle or facial pain
- Double vision
- Dizziness or vertigo
- Changes in hearing
- Difficulty swallowing
Sacral chordoma symptoms:
- Lump
- Pain
- Numbness or tingling sensation in the legs
- Weakness in the hills, legs, and feet
Diagnosis
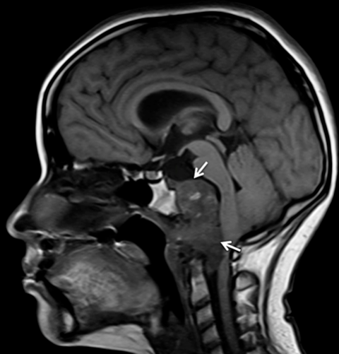
Initial treatment will involve thorough medical history and physical exam, including the patient’s symptoms, and personal and family health history. To help detect chordoma, Robert Louis, MD conducts a neurological exam to test a patient’s vision, hearing, balance, coordination, reflexes, memory, and ability to think. To help confirm the diagnosis and find the exact location of chordoma, he may require tests and special imaging:
Magnetic resonance imaging (MRI): An MRI uses magnetic fields to produce detailed images of the body. A special dye called a contrast medium is injected into a patient’s vein before the scan to create a clearer picture.
After diagnostic tests are done, Dr. Louis will review all of the results with you and describe the tumor stage, grade and best treatment options.
Treatment
Treatment for chordoma will require both endoscopic endonasal approach and follow-up radiation therapy.
Endoscopic Endonasal Approach
Chordoma of the skull base may be approached directly using the Endoscopic Endonasal Approach. Robert Louis, MD specializes in this state-of-the-art, minimally invasive surgery in accessing and removing the tumor through the natural corridor of the nose.
Radiation Therapy for Chordoma
Proton beam radiation is the preferred type of radiation treatment for chordoma. A concentrated dose of radiation is directly sent to the tumor through stereotactic radiosurgery.
CONTACT US
Please feel free to fill out the form provided on the right with your questions and Dr. Louis and his team will get back to you as soon as possible.
Contact Us
We will get back to you as soon as possible.
Please try again later.